Casos clínicos

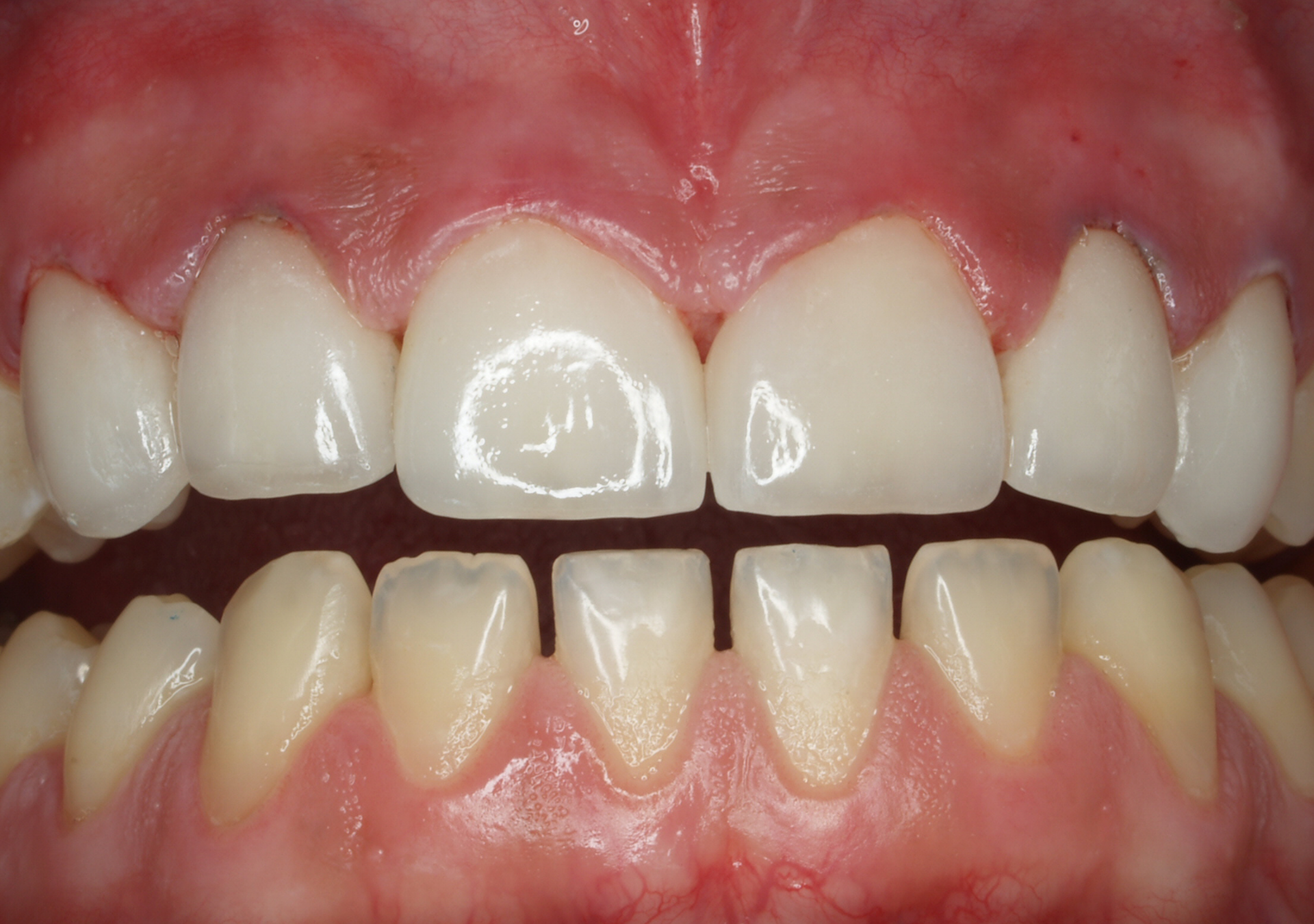
Caso 1

Carillas de cerámica feldespática superiores e inferiores con cierre de diastemas.
Antes y después - Doctora Susana Rodríguez Antes y después - Doctora Susana Rodríguez

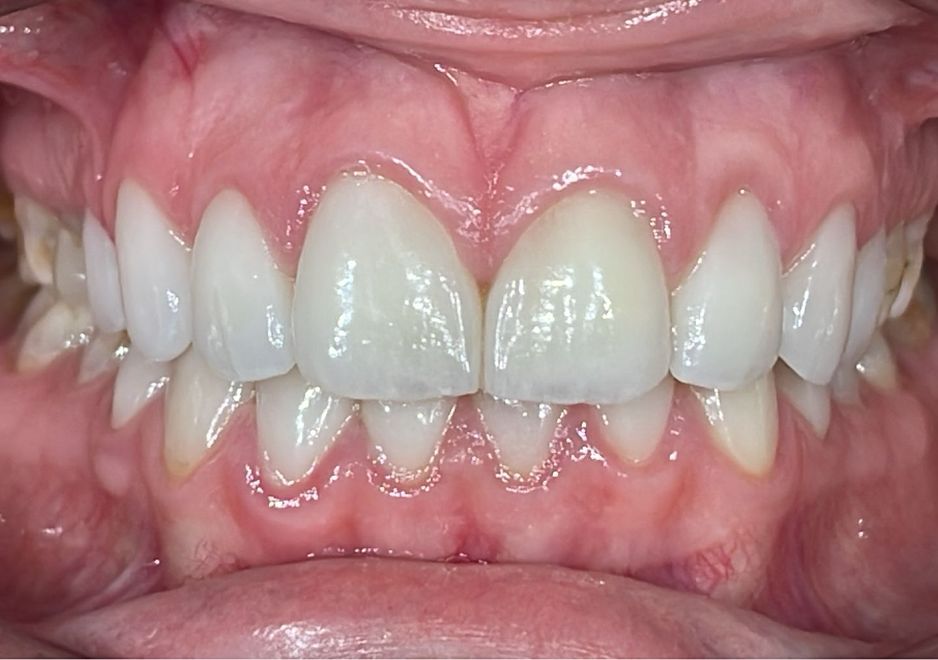
Caso 2

Rehabilitación con cerámica feldespática de paciente con amelogénesis imperfecta (esmalte defectuoso), eliminación de tinciones y protección superficies.

Antes y después - Doctora Susana Rodríguez Antes y después - Doctora Susana Rodríguez

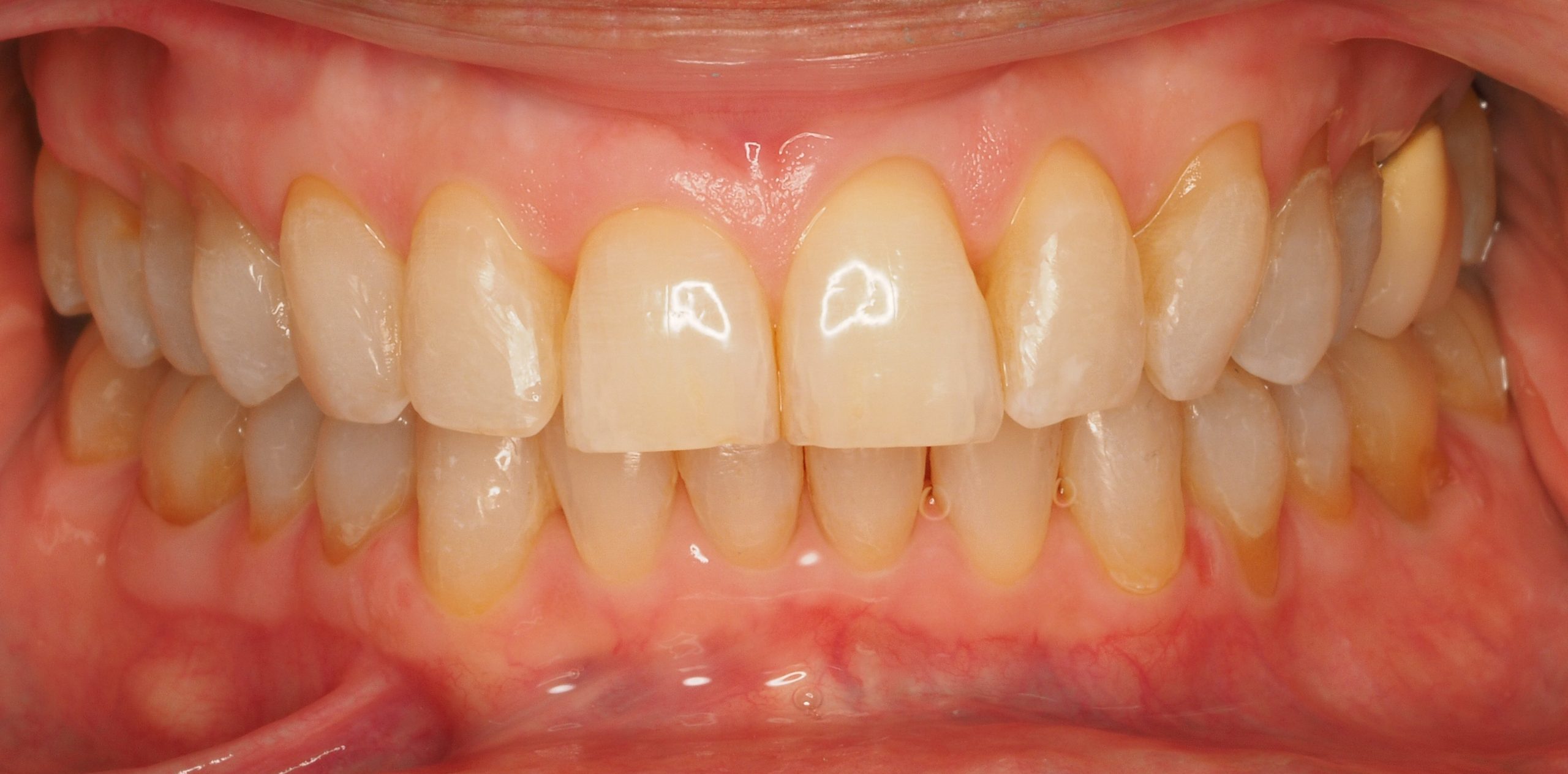
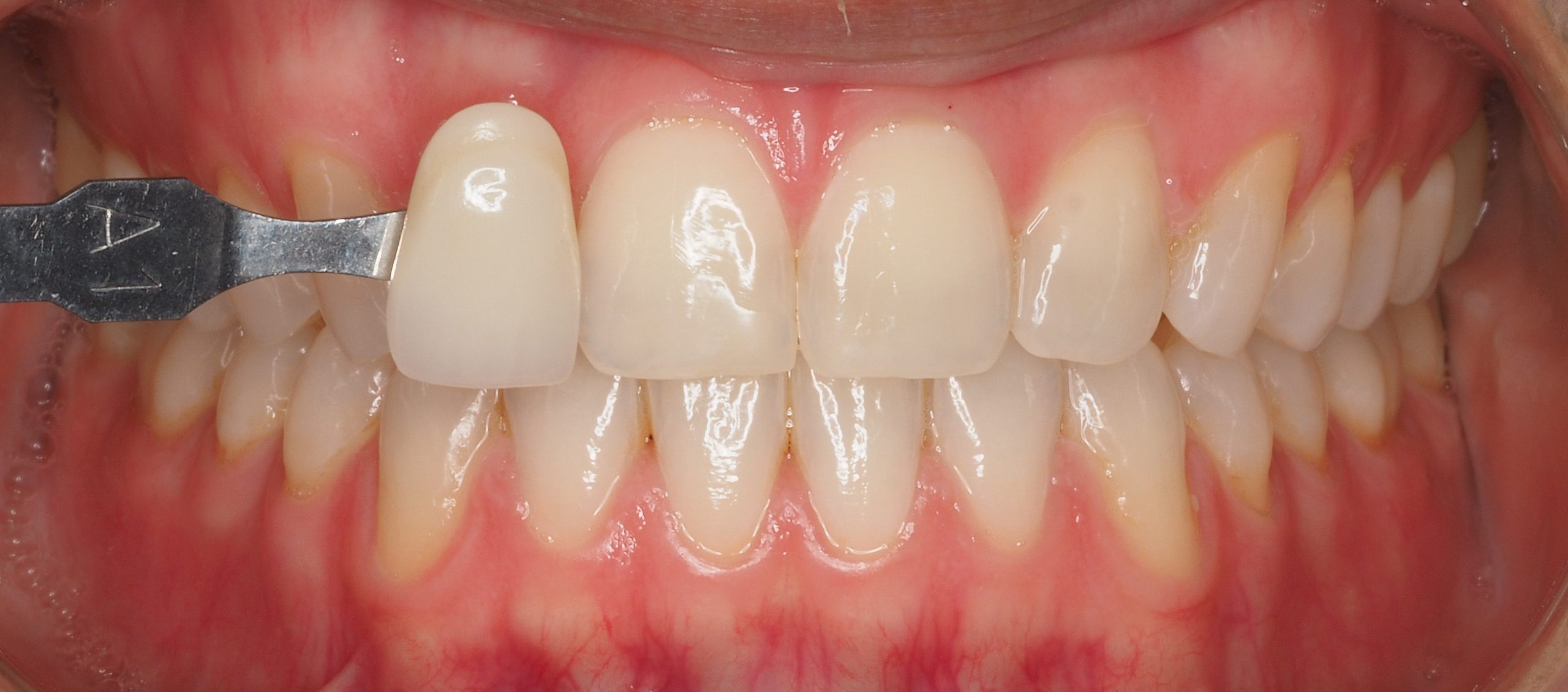
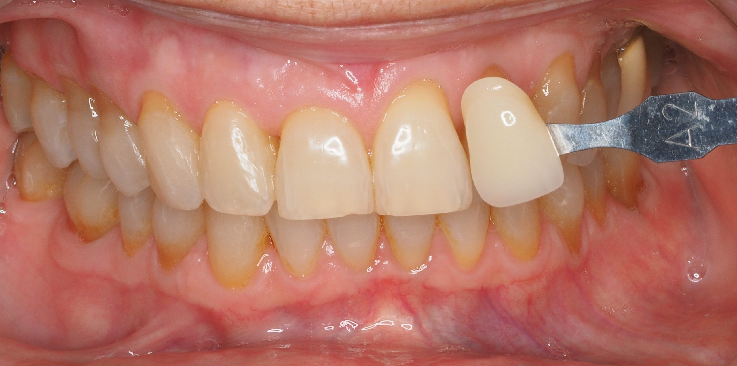
Caso 3

Rehabilitación con cerámica feldespática de dientes con tinción por tetraciclinas y malposición.
Antes y después - Doctora Susana Rodríguez Antes y después - Doctora Susana Rodríguez

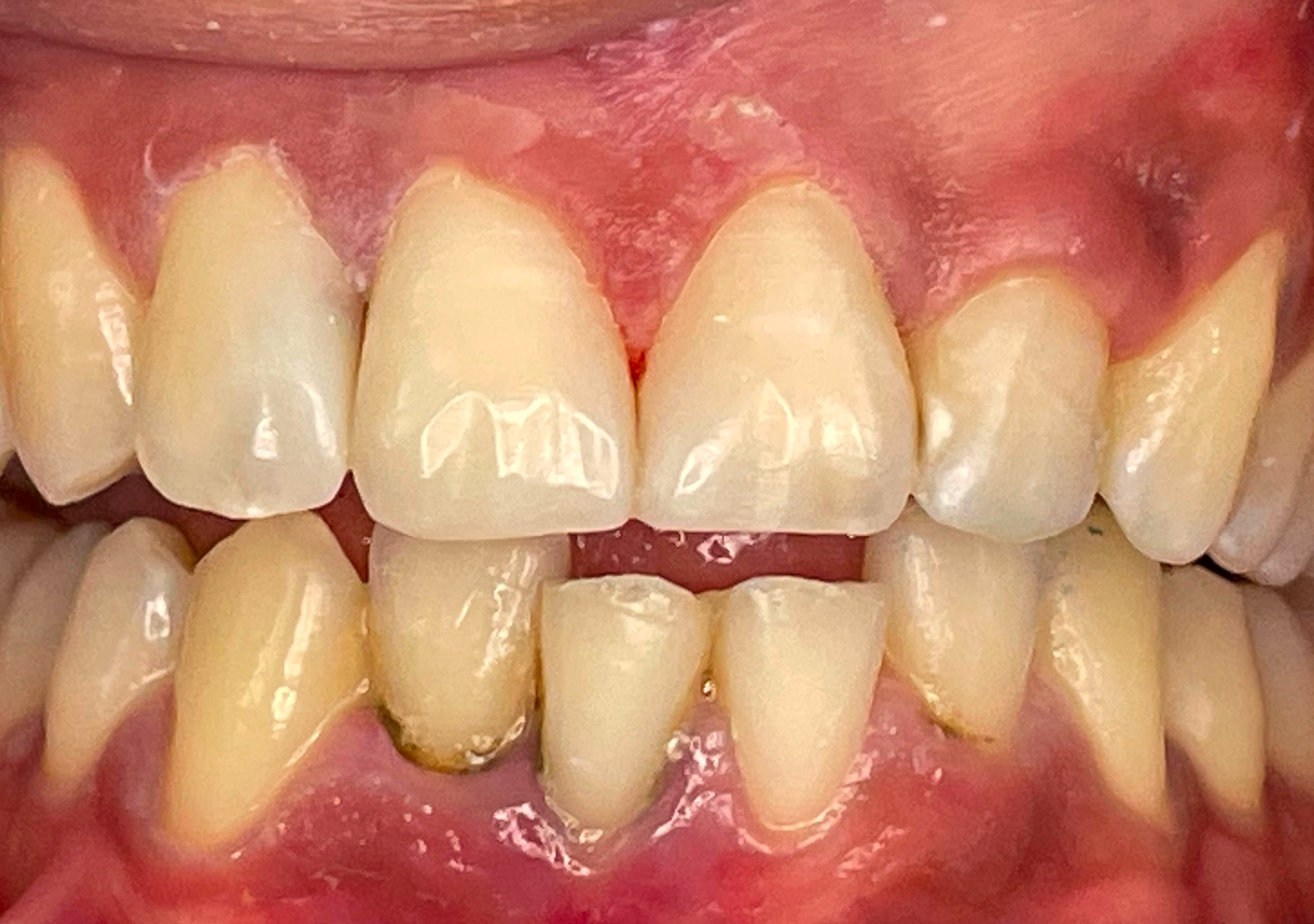
Caso 4

Rehabilitación con cerámica de disilicato de litio en arcada superior de paciente con diastemas y desgastes generalizados.
Antes y después - Doctora Susana Rodríguez Antes y después - Doctora Susana Rodríguez

Caso 1

Restauración mediante resinas estéticas de paciente con malposición y restauraciones defectuosas en incisivos centrales superiores.
Antes y después - Doctora Susana Rodríguez Antes y después - Doctora Susana Rodríguez

Caso 2

Restauración con resinas estéticas de dientes anteriores de arcada superior con fracturas por traumatismo y caries.
Antes y después - Doctora Susana Rodríguez Antes y después - Doctora Susana Rodríguez

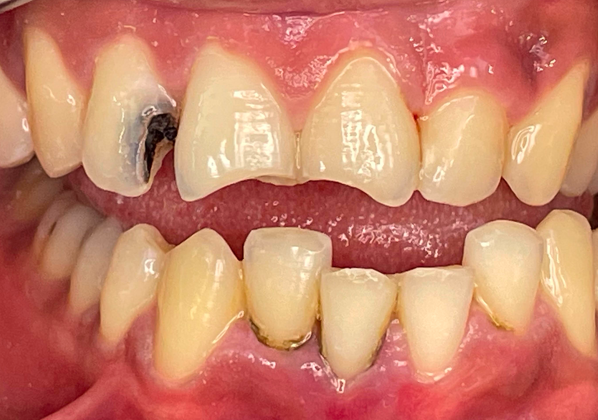
Caso 3

Paciente con desgastes incisales. Se procede a la restauración con resinas estéticas ajustando la oclusión y realizando pulido para optimizar resultado. El proceso se realiza en una sola sesión y sin anestesia.
Antes y después - Doctora Susana Rodríguez Antes y después - Doctora Susana Rodríguez

Caso 4

Paciente con restauraciones posteriores deterioradas y filtradas, se realiza la reconstrucción de las piezas 45-46 y 47 bajo aislamiento para sellar restauraciones y recuperar anatomía.
Antes y después - Doctora Susana Rodríguez Antes y después - Doctora Susana Rodríguez

Caso 1

Blanqueamiento con técnica mixta domicilio/clínica para tratar paciente con tetraciclina severa. Posterior al blanqueamiento, se realiza el cambio de las restauraciones de resina envejecida por carillas de cerámica en los dos centrales superiores.
Antes y después - Doctora Susana Rodríguez Antes y después - Doctora Susana Rodríguez

Caso 2

Paciente con dientes desgastados y oscurecidos, se realiza blanqueamiento zoom en una sola sesión.
Antes y después - Doctora Susana Rodríguez Antes y después - Doctora Susana Rodríguez

Caso 3

Paciente joven que quiere blanquear dientes sin hacer ningun tratamiento invasivo. Se realiza blanqueamiento zoom en una sesión.
Antes y después - Doctora Susana Rodríguez DESPRES CAS 3 blanquejament

Caso 1

Tratamiento de endodoncia en piezas dentales con anatomía que presenta conductos accesorios de difícil acceso.
Antes y después - Doctora Susana Rodríguez Antes y después - Doctora Susana Rodríguez

Caso 2

Paciente con presencia de caries extensas, se realiza tratamiento de conductos en 45-46 y posterior restauración con coronas cerámicas.
Antes y después - Doctora Susana Rodríguez Antes y después - Doctora Susana Rodríguez

Caso 3

Paciente con dolor agudo tras obturación extensa en pieza 2.6. Se realiza tratamiento de conductos i restauración bajo anestesia en una sola sesión.
Antes y después - Doctora Susana Rodríguez Antes y después - Doctora Susana Rodríguez