Especialidades
La odontología ha evolucionado hacia la especialización y, en el caso de Susanna, se ha orientado hacia la estética dental y la endodoncia. Actualmente, la odontología de restauración con resinas y cerámicas mediante técnicas digitales ocupa la mayor parte de su trabajo. Gracias a su trayectoria de más de 25 años, resuelve casos complejos con resultados estéticos óptimos para el paciente. Considera que generar una relación humana, cercana y de confianza con el paciente es clave para el éxito de cualquier tratamiento odontológico.
Las cuatro principales áreas de especialización en las que trabaja actualmente son:
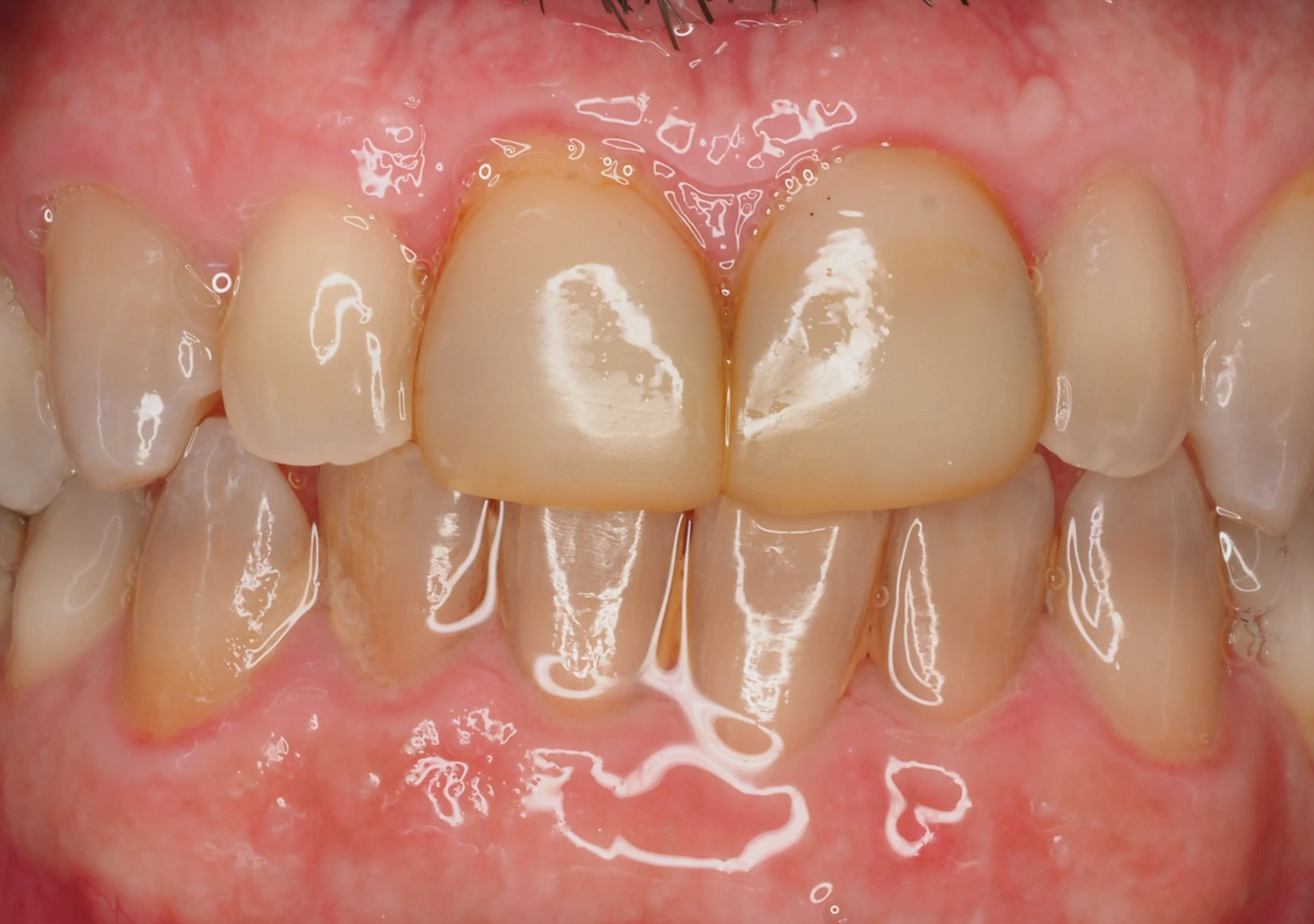
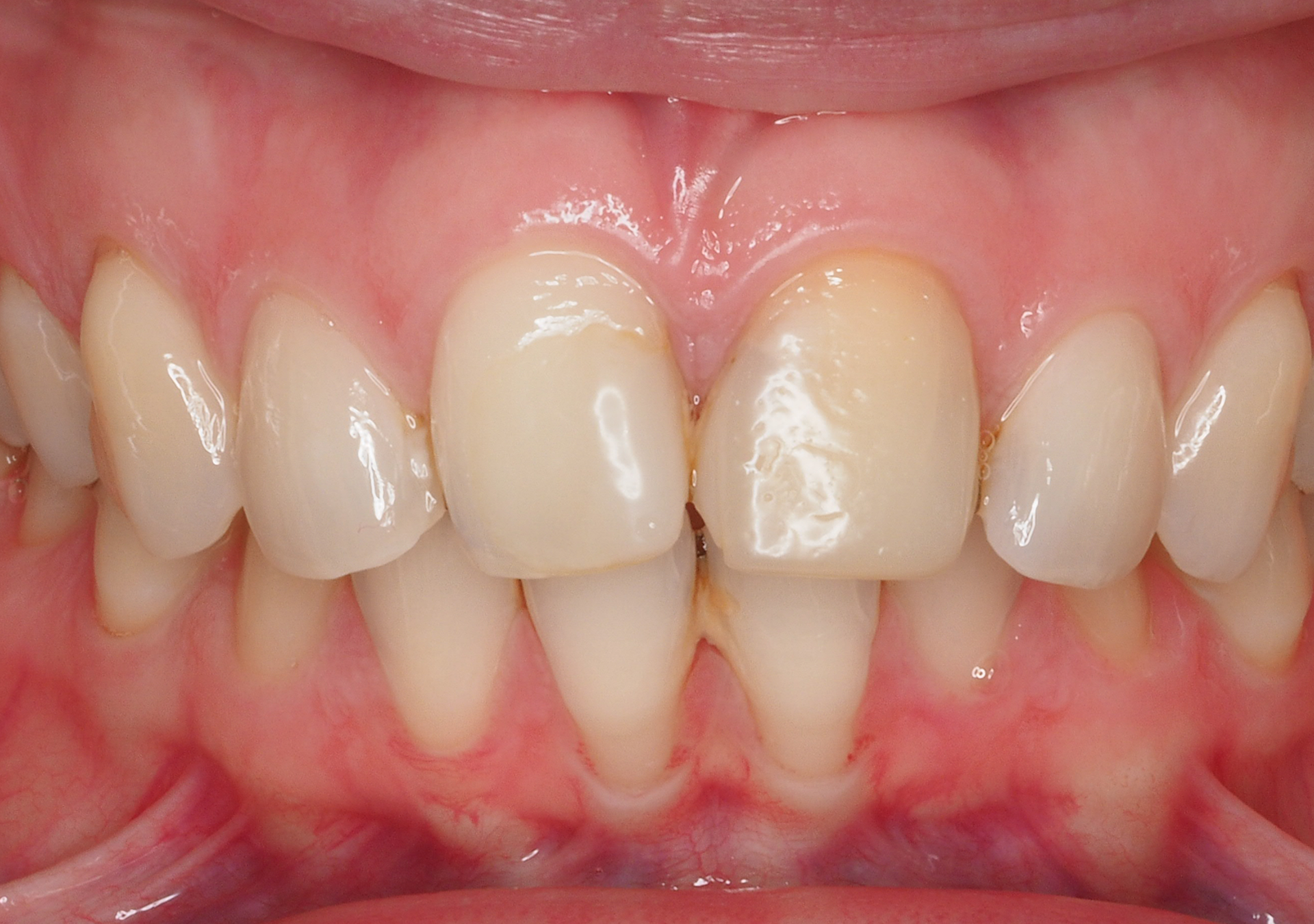
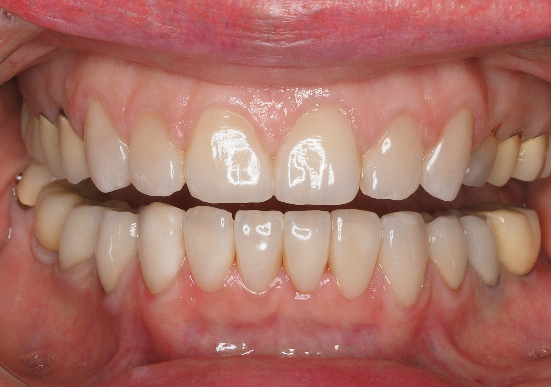
Restauración cerámica
-
- Experiencia en la rehabilitación de casos complejos.
-
- Diseño de sonrisa y prueba estética previos para visualizar los resultados antes de iniciar el tratamiento.
- Coordinación con laboratorios de máximo nivel para lograr resultados estéticos y funcionales excelentes.
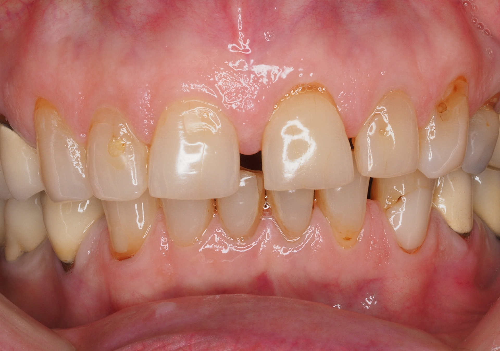
Restauración
con composite (Resinas)
-
- 25 años de experiencia en restauraciones de resina composite tanto en sectores anteriores como posteriores.
- Técnicas de aislamiento para garantizar la longevidad y la integridad de la restauración.
- Resultados estéticos comparables a la cerámica, de larga durabilidad.
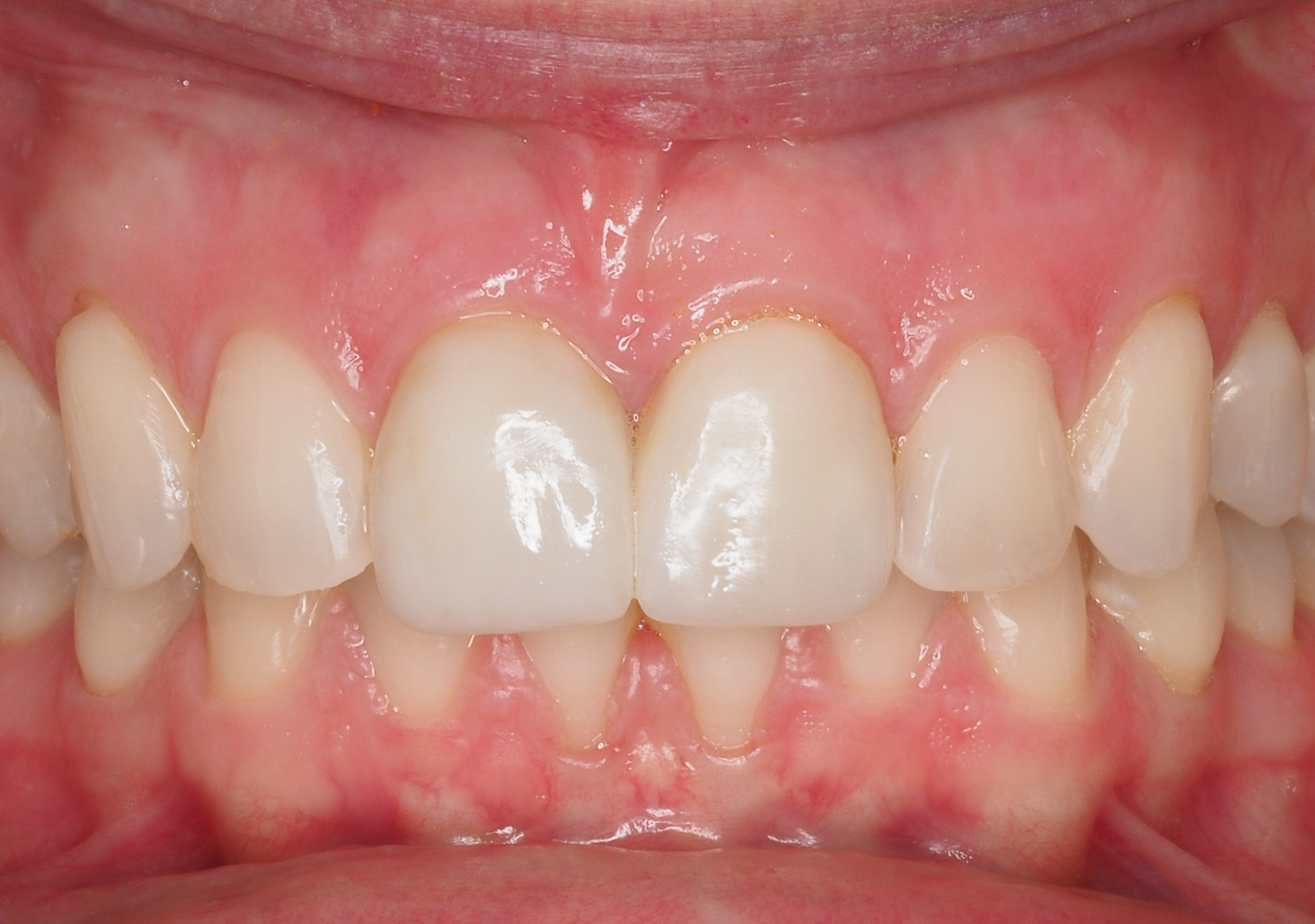
Blanqueamiento
- Protocolo del doctor Josep Lluís Padrós actualizado con aplicación mixta domicilio/clínica, con resultados exitosos el 100% de los casos.
- Técnicas de blanqueamiento eficaces en casos difíciles, incluidas las tinciones por tetraciclinas.
- Tratamiento confortable y de gran durabilidad, sin alterar la estructura dental
- Técnicas de blanqueamiento eficaces en casos difíciles, incluidas las tinciones por tetraciclinas.
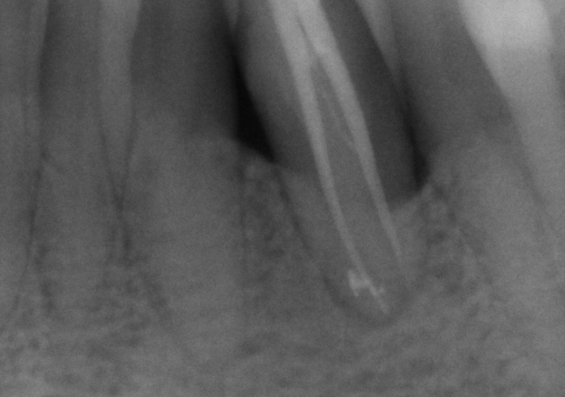
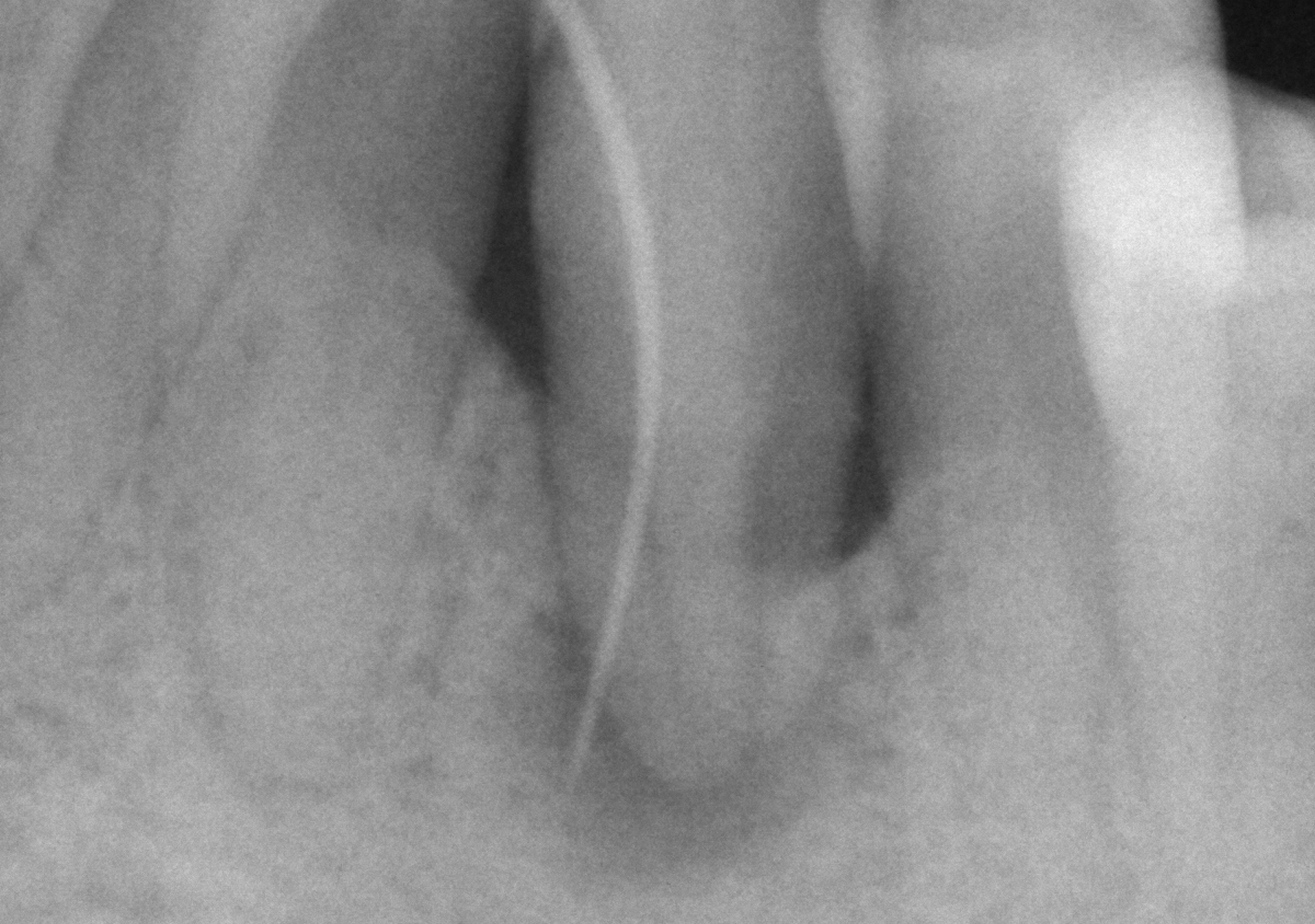
Endodoncia
-
- Amplia experiencia en tratamientos de endodoncia para resolver casos de alta dificultad.
- Diagnóstico y seguimiento con CBCT para analizar con exactitud los casos evaluados.
- Posibilidad de trabajar con sedación consciente para una mayor comodidad y mejor experiencia del paciente.
